Răng bị thưa không những làm ảnh hưởng đến sức khỏe răng miệng và chức năng ăn nhai mà còn làm mất tính thẩm mỹ hàm răng và nụ cười khiến rất nhiều người mất tự tin khi giao tiếp. Tình trạng răng thưa có thể được điều trị hiệu quả bằng phương pháp niềng răng.
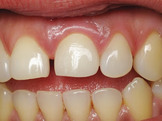
Răng thưa là tình trạng răng có khoảng giữa hai răng khá xa nhau, thường xảy ra khi răng di chuyển do mất răng hay răng quá nhỏ so với cung hàm, do bởi mầm răng mọc bẩm sinh, thiếu răng hay do thói quen dùng tăm xỉa răng.
Bản chất của phương pháp niềng răng thưa là tạo ra sự di chuyển cho răng mà không làm ảnh hưởng đến răng thật giống như bọc răng sứ, dán sứ veneer.
Chia sẻ: niềng răng thưa như thế nào?
Niềng răng thưa là giải pháp sử dụng mắc cài cố định trên răng hoặc khay niềng răng tháo lắp, tác động lực nhẹ lên răng, đến từ đến từ di chuyển các răng lại gần nhau.
Thời gian để niềng răng nha khoa thưa từ 18 tháng tới 24 tháng, tùy theo răng của mỗi người. Lúc niềng răng nha khoa thưa thì những khoảng phương pháp giữa các răng sẽ khít vào, món ăn không bị bám vào các khe răng, làm phát sinh các vi khuẩn gây hại cho răng. Niềng răng sẽ giúp chúng ta có khớp cắn đúng, không bị sai lệch.
Khi niềng răng nha khoa, các bạn cần tái khám theo đúng lịch hẹn của y bác sĩ, bởi lúc tái khám giúp kiểm tra và chỉnh sửa lại những sai sót trong quá trình chỉnh nha. Tái khám rất quan trọng do rất nhiều người thường bỏ qua các khâu này, việc không tới đúng hẹn khám sẽ ảnh hưởng trực tiếp đến hiệu quả chỉnh nha, không xử lý kịp thời cho các vấn đề có thể xảy ra.
>>> Tham khảo thêm: niềng răng cho trả góp
Sau khi răng đã chuyển dịch đến vị trí mong ước, khí cụ sẽ được tháo ra cũng như hiệu quả sẽ được duy trì thêm 1 thời gian với các biện pháp duy trì để tránh trường hợp răng có thể chuyển dịch trở lại.
Mỗi loại vật liệu niềng răng thẩm mỹ với những đặc điểm riêng biệt của nó sẽ cho chi phí niềng răng thưa bao nhiêu tiền khác biệt. Trong đó, niềng răng mắc cài kim loại thông thường mặt ngoài có giá tiền thấp nhất, niềng răng nha khoa với thiết bị tháo lắp sở hữu mức chi phí cao nhất.



Đăng nhận xét
Lưu ý: Chỉ thành viên của blog này mới được đăng nhận xét.